
TMJ
What Is the TMJ?
The TMJ, also known as the temporomandibular joint, is the joint where the upper and lower jaws connect. The temporomandibular joint is responsible for allowing the mouth to open and close. When something is wrong with the temporomandibular joint, you may notice symptoms such as:
- Pain and tenderness around the face, jaw, neck, and shoulders
- Pain when speaking, chewing, or yawning
- Clicking and popping noises when opening and closing the mouth
- Inability to open the mouth wide
- Jaw that tends to get locked into position
- Swelling on the sides of the face
- Headaches, earaches, and neck aches
- Dizziness
Understanding TMJ Disorders AND THE SEVERITY OF THE CONDITION

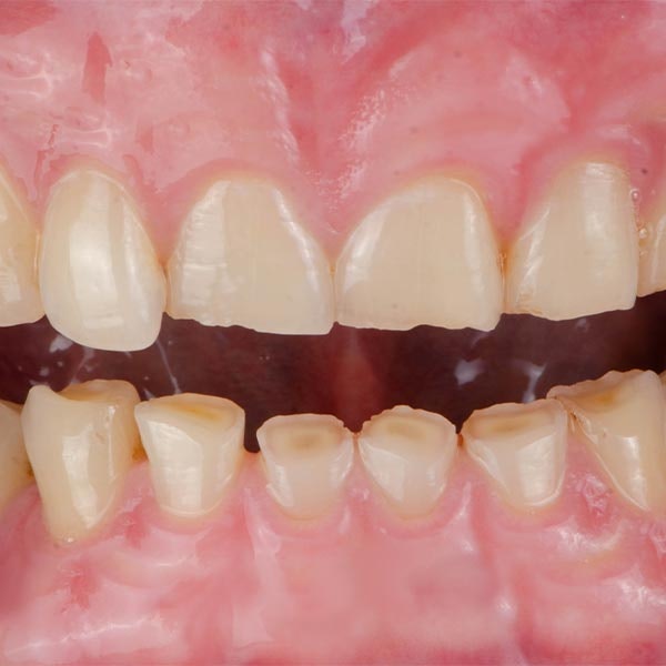
Worn Teeth
TMJ can cause clenching and grinding of the teeth that wear down tooth surfaces over time, leading to sensitivity and chipped or fractured teeth. If your teeth continue to wear down, you may even develop a misaligned bite.

Gum Recession
When you clench your teeth due to problems with the TMJ, you're at risk of putting pressure on your gums. This can lead to gum recession and exposed tooth roots. When gums recede, your teeth are more likely to develop decay and sensitivity.

Loose Teeth
Gum recession and teeth grinding or clenching can lead to loose teeth due to the excessive force that is put on the teeth and ligaments. In extreme cases, your TMJ dysfunction can even lead to tooth loss.

Bone Loss
If your TMD causes misalignment or tooth loss, your jawbone won't receive the stimulation it requires. This can lead to jawbone atrophy.
When patients don't seek out relief for their TMJ, their dental health can suffer significantly. Our Newport, TN, dentists recommend attending regular dental checkups and seeking out relief when patients notice the signs of a TMJ disorder.
Improve Your Quality of Life TREAT YOUR TEMPOROMANDIBULAR DISORDER TODAY
Our dentists are dedicated to helping you maintain a healthy smile for life. During an appointment at Newport Family Dental Care, PLLC, in Newport, TN, our team of professionals can diagnose and treat your TMJ disorders to ease your pain and restore functionality to your mouth and jaw.
If you notice any of the symptoms of temporomandibular disorder, we can provide you with a solution. Request an appointment at our Newport, TN, office by calling:
(423) 623-1307

5-Star Reviews From Our Patients
Did a great job Dr Sutton and his assistant made me feel really comfortable ,excited to getting done with it all. Thank you all the staff very friendly in how you are greeted.
View on GoogleI have had only positive experiences. They are friendly, helpful, non judgmental, thorough and compassionate. They request your input in decision making regarding your treatment. I’m so thankful to have found them
View on GoogleFactors That Contribute to TMD
Even though the primary cause of TMD is still unknown, scientists believe that some of the symptoms are a result of problems with the muscles and jaw joints. Certain habits can also contribute to this condition. Some of the known factors that cause TMJ disorders include:
- Trauma to the mouth
- Chronic grinding or clenching of the teeth
- Connective tissue diseases
- Arthritis
Who's Likely to Develop TMD?
Though anyone can develop TMJ disorders, certain factors can increase your risk, including:
- Being a woman
- Having high stress levels
- Having bruxism
- Being between the ages of 20 and 40
Though a splint can be a good way to alleviate the symptoms occurring in your TMJ, our Newport, TN, dentists may recommend that you combine your treatment with lifestyle changes.
More 5-Star Reviews
Newport Family Dental has the most accommodating and friendly staff! Their knowledge is impressive plus the state of the art equipment is like no other. Wouldn't dream of changing dentists!
View on GoogleI was very pleased with Dr. Sutton and his staff. Everyone was very professional and very cautious which I appreciate. I would highly recommend Newport Family Dental for anyone’s dental needs.
View on Google





